Paisley
12/9/2017
UCH NatCH IntlCH OPK’s BBGs Lil Paisley Ray of Sunshine BCAT CGC TKN URACEN USPOT-ON
Paisley is proudly owned by Kerry Miller & Christine Harp

TEMPERAMENT
Paisley is my PTSD, anxiety, and mobility service dog. She is a Beautiful bitch with a moderate tight coat, balanced angles, long neck, and smooth effortless movement. Paisley is gorgeous in the ring, but absolutely hated it. Outside of the ring she would be happy and bouncy, but as soon as she was competing, her head hung and she was not into it. Paisley won reserve winners bitch 18 times! Because of her distaste for the ring, she did not finish in AKC. That was my choice. I did not want to continue competing her in a sport she despised.
Now her favorite pastime is chillin on the couch with George. She is low drive and born to snuggle. Paisley is retired from the ring, but occasionally makes an appearance in small shows with no pressure
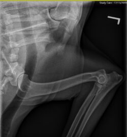
CLEARANCES
CHIC Number: 146618
Hip clearance: OFA OFA GR-128016G24F-VPI Good
Eye clearance: OFA GR-EYE19467/57F-VPI (10/22) Normal
Heart clearance: OFA GR-CA35599/25F/C-VPI Clear
Elbow clearance: OFA GR-EL47565F24-VPI Normal
prcd-PRA status: OFA GR-PRA951/4F-PI Clear
PRA1 status: OFA GR-GR1-925/4F-PI Clear
PRA2 status: OFA GR-GR2-2322/23F-PI Clear
Ichthyosis 1 status: OFA GR-ICH2571/23F-PI Clear
Ichthyosis 2 status: OFA GR-GR2-749/4F-PI Clear
DM status: OFA GR-DM612/4F-PI Clear
NCL status: GR-CL5-1079/14F-PI OFA Clear

Sunny
CH Brianne’s Total Eclispe Of The Sun THD, CGC, TDA

Delta
Colebrook OPK’s Delta Ray CGCA CGCU TKA




















































